職位推薦
- 珍格醫療-臨床銷售 15001-20000
- 地奧制藥-醫藥代表 6001-8000
- 普利德醫療-醫療設備銷售經理 面議
- 大唐-兼職招商經理 面議
- 景德中藥-直營經理 6001-8000
- 安邦醫藥-省區招商經理 8001-10000
- 恒瑞醫藥-醫藥信息溝通專員 6001-8000
- 黃河中藥-學術講師 8001-10000
發布日期:2025-11-28 瀏覽次數:30
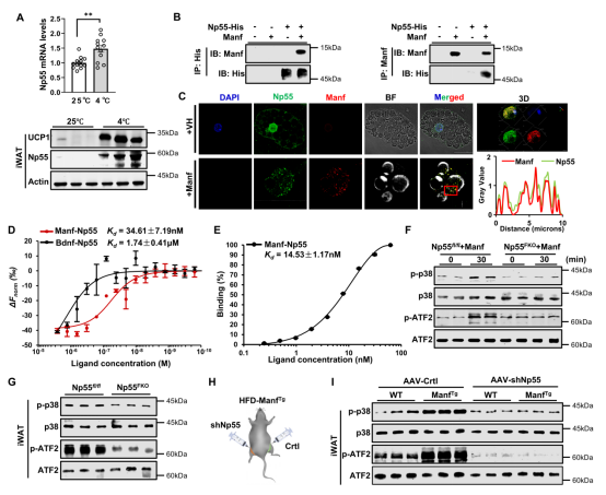
2025年11月,我院臨床藥學部(藥劑科)何金汗教授、臨床藥學研究所李艷萍研究員團隊在國際期刊Proceedings of the National Academy of Sciences of the United States of America (PNAS,IF: 9.1)發表題為Neuroplastin-55 is a receptor of Manf and protects against diet-induced obesity by promoting adipose browning的研究性論文。研究揭示了脂肪組織的跨膜蛋白Neuroplastin-55作為肝臟分泌蛋白Manf的受體在維持機體代謝穩態中的關鍵作用,為肥胖及糖脂代謝紊亂相關疾病的治療提供了新思路。

白色脂肪組織棕色化可以增加機體能量消耗,是肥胖治療的一種新策略。在該研究中,課題組發現膜受體Neuroplastin-55(Np55)在肥胖人群及肥胖小鼠模型的脂肪組織中的表達顯著上調。脂肪特異性敲除Np55顯著抑制機體能量消耗,加劇高脂飲食誘導的肥胖。課題組前期研究報道了中腦星形膠質細胞源性神經營養因子(Manf)是一種攝食誘導的肝臟分泌蛋白,可通過促進白色脂肪細胞棕色化改善肥胖及胰島素抵抗(Journal of Experimental Medicine, 2021)。
研究團隊通過蛋白組學檢測發現Np55是Manf在脂肪細胞上的受體,且兩者具有高結合親和力。進一步的機制研究顯示,Manf與Np55結合后,可促進Np55與腫瘤壞死因子受體相關因子-2 (TRAF2)和凋亡信號調節激酶1 (ASK1)形成三元復合物,激活下游p38 MAPK信號通路,從而誘導皮下脂肪棕色化。研究還發現,脂肪組織中的Np55在Manf誘導的產熱和減重作用中是不可或缺的。

該研究工作揭示了Np55作為Manf受體在維持機體代謝穩態中的關鍵作用,為肥胖及糖脂代謝紊亂相關疾病的治療提供了新思路。

何金汗教授、李艷萍研究員為通訊作者,內分泌代謝科助理研究員賈清怡博士后為第一作者。該研究工作得到了國家自然科學基金、四川省科技廳及我院學科卓越發展“1·3·5工程”等基金資助。
原文鏈接:https://doi.org/10.1073/pnas.2515526122
300多萬優質簡歷
17年行業積淀
2萬多家合作名企業
微信掃一掃 使用小程序
